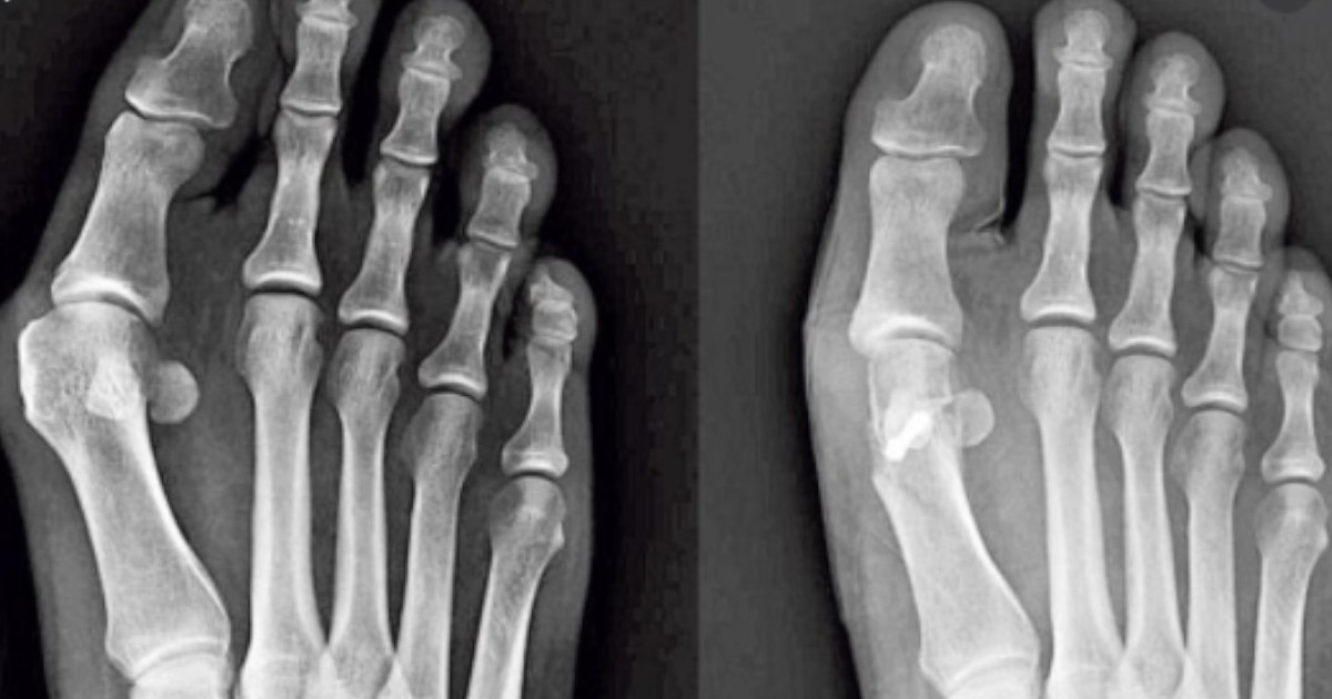
Narośl haluksowa pojawia się na bocznej stronie palucha stopy, powodując dyskomfort u osób, które doświadczają tego problemu.
Stopy z haluksem mają paluch przylegający do sąsiedniego palca, co wpływa na zmianę wyglądu stopy. Schorzenie to rozwija się i może prowadzić do trudności w codziennym życiu.

Przyczyną deformacji palucha u niektórych kobiet jest noszenie zbyt ciasnych butów, ale głównym czynnikiem są uwarunkowania genetyczne, ponieważ nie każdy doświadcza tego problemu. Osoby z haluksem mogą odczuwać ból, drętwienie, zaczerwienienie i pieczenie skóry stopy. Chociaż leczenie chirurgiczne jest opcją, istnieją również sposoby, aby poprawić jakość życia mimo obecności haluksa.
Aby radzić sobie z haluksem, należy unikać butów z ciasnymi noskami i nie obciążać stopy przez długie stanie. Istnieją również produkty, które można stosować doraźnie, aby ułatwić funkcjonowanie i odwrócić uwagę od problemu.

Okład z lodu: Umieść pokruszone kostki lodu w płóciennym woreczku i przykładaj do haluksa kilka razy dziennie. Zmniejszy się ból oraz obrzęk.
Ciepła oliwa z oliwek: Rozgrzej oliwę z oliwek i masuj haluks oraz inne części stopy przez 15 minut. W ten sposób pobudzisz mazię stawową i poprawisz krążenie krwi, co złagodzi ból dzięki zmniejszeniu tarcia w stawach.
Sok z czerwonej papryki: Wmasuj sok z ostrej, świeżej papryki w haluksa, nałóż wazelinę i bandaż. Następnie umyj ręce. Stosuj dwa razy dziennie. Kapsaicyna zawarta w papryce ma działanie rozgrzewające, bakteriobójcze i bakteriostatyczne.
Sól Epsom: Rozpuść pół szklanki soli Epsom w wannie i zanurz stopy na 20 minut, dwa razy dziennie. Siarczan magnezu zawarty w soli złagodzi stan zapalny, ból, a nawet zmniejszy haluksa.
Podgrzewany olej rycynowy: Podgrzej pół kubka oleju rycynowego (na przykład na patelni) i nasącz nim cienką szmatkę. Owijaj szmatkę wokół haluksa, a następnie ręcznikiem, aby utrzymać temperaturę. Powtarzaj dwa razy dziennie. Pobudzenie krążenia krwi złagodzi ból i opuchliznę.